Pages
HOME
ABOUT JACK
VISION STATEMENT
LIST OF ARTICLES
DISCLAIMER
PATIENT CONFIDENTIALITY
LINKS
FACEBOOK PAGE
CONTACT ME
May 9, 2011
OSCE pro III series 3
Labels:
osce neurosurgery
,
Pro III OSCE
,
Professional III (OSCE)
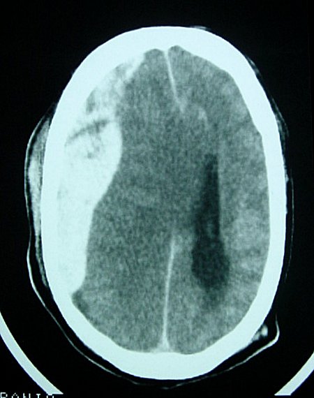
OSCE Pro III 2003 Station 20
Image source:
http://anatpat.unicamp.br/Dsc35174+.jpg
Questions
1)Describes 2 abnormal findings
2)Diagnosis
3)Name two indication for CT scan
4)Treatment for above condition
for answer to this question, click [
here
]
No comments:
Post a Comment
Newer Post
Older Post
Home
Subscribe to:
Post Comments (Atom)
Ya Allah! Permudahkanlah aku untuk menuntut ilmuMu, memahaminya, mengingati dan menyebarkannya. Berkatilah ilmu itu dan tambahkanlah ia. Amin.
No comments:
Post a Comment